Research projects
Explore our current research projects in the expandable areas below:

Research projects
- 31P MRS
- 4D Flow
- Brain tumour biomarker development
- Brain tumour classification through machine learning
- DCE-MRI data modelling
- Exercise Cardiac MRI
- MR Fingerprinting
- MRI biomarker for the prediction of Alzheimer’s disease
- Multiparametric analysis of brain tumours
- Muscle changes post ACLR
- Oxygen-enhanced MRI
- Smart Imaging and Analysis for Cardiovascular MR
- Super-resolution
- Transverse MRI for Magic Angle Directional Imaging (MADI)
We are using 31P MRS to explore variations in cardiac muscle composition and function in a population cohort with genetic and phenotypic variants associated with cardiovascular disease.
Contact:
Ben Statton (b.statton@imperial.ac.uk)
Pawel Tokarczuk (p.tokarczuk@lms.mrc.ac.uk)
We are using 4D flow MRI to examine the relationship between aortic blood flow patterns, wall shear stress and the severity of aortic wall degradation in patients with ascending aortic aneurysms (AsAA). We aim to develop a rupture prediction model for patients with AsAA’s. using the phase-contrast MRI and biomechanical data.
Contact:
Ben Statton (b.statton@imperial.ac.uk)
Pawel Tokarczuk (p.tokarczuk@lms.mrc.ac.uk)
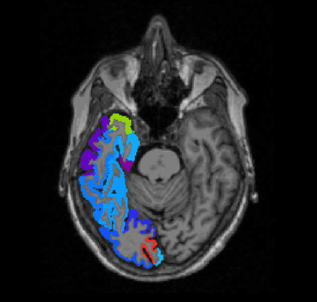
We are investigating imaging biomarkers (diffusion MRI, perfusion MRI, MR Spectroscopy, choline PET) and developing the clinical tools needed to understand brain tumour growth and improve brain tumour diagnosis.
Contact:
Matthew Grech-Sollars (m.grech-sollars@imperial.ac.uk)
We are developing new machine learning tools to aid clinicians in diagnosing brain tumours through MRI and digital pathology.
Contact:
Matthew Grech-Sollars (m.grech-sollars@imperial.ac.uk)
We are applying different pharmacokinetic models to DCE-MRI data to assess blood-brain barrier disruption and leakage in primary brain tumours.
Contact:
Marianna Inglese (marianna.inglese17@imperial.ac.uk)
We are using exercise cardiac MRI to explore variations in cardiac function in a population cohort with genetic and phenotypic variants associated with cardiovascular disease.
Contact:
Ben Statton (b.statton@imperial.ac.uk)
Pawel Tokarczuk (p.tokarczuk@lms.mrc.ac.uk)
We are investigating MRF as a rapid and quantitative technique for characterising brain tumours.
Contact:
Matthew Grech-Sollars (m.grech-sollars@imperial.ac.uk)
Rebecca Quest (rebecca.quest@nhs.net)
We are developing a radiomic MRI analysis method for Alzheimer’s risk prediction.
Contact:
Marianna Inglese (marianna.inglese17@imperial.ac.uk)
We are investigating the integration of different imaging (DCE-MRI, DWI-MRI, DSC-MRI and PET) techniques for the characterization of tumour tissue.
Contact:
Marianna Inglese (marianna.inglese17@imperial.ac.uk)
Matthew Grech-Sollars (m.grech-sollars@imperial.ac.uk)
We are using a number of MRI measurements at Stanford University to investigate thigh muscle changes post ACL reconstruction. We aim to develop a measure of muscle quality to assess early changes after surgery with different grafts.
Contact:
Karyn Chappell (k.chappell@imperial.ac.uk)
We are investigating the use of oxygen-enhanced MRI ventilation mapping in combination with MR perfusion to provide increased diagnostic accuracy when compared with ventilation-perfusion SPECT scintigraphy in patients with pulmonary hypertension.
Contact:
Ben Statton (b.statton@imperial.ac.uk)
Pawel Tokarczuk (p.tokarczuk@lms.mrc.ac.uk)
A novel deep learning-based and ROI focused multi-scale super-resolution approach is proposed to improve the apparent spatial resolution of in vivo Diffusion Tensor Cardiovascular Magnetic Resonance (DT-CMR).
Contact:
Guang Yang (g.yang@imperial.ac.uk)
We are developing new methods to enhance spatial resolution in MRI.
Contact:
Pete Lally (p.lally@imperial.ac.uk)
We are creating a moveable assembly with 2 DOF that provides a 'roll' and 'yaw' motion. We aim to utilise this prototype scanner with moving B0 for Magic Angle Directional Imaging (MADI) in vivo.
Contact:
Karyn Chappell (k.chappell@imperial.ac.uk)
More information is available under the Mechanical Engineering webpage 'Magnetic resonance imaging'.