Imperial 600 (the College’s LGBTQIA+ network for staff and postgraduate students) held a fundraiser for Rainbow Migration, which supports LGBTQIA+ people through the asylum and immigration system. Pictured: Simon Levey and Jen Wiseman, co-chairs. (Photo credit: Aleksander Ziolkowski)

During Pride Month, Imperial 600 (the College’s LGBTQIA+ network for staff and postgraduate students) held a fundraiser for Rainbow Migration, which supports LGBTQIA+ people through the asylum and immigration system. (Photo credit: Aleksander Ziolkowski)

During Pride Month, Imperial 600 (the College’s LGBTQIA+ network for staff and postgraduate students) held a fundraiser for Rainbow Migration, which supports LGBTQIA+ people through the asylum and immigration system. (Photo credit: Aleksander Ziolkowski)

The Royal British Legion Centre for Blast Injury Studies

The Gas Gun System at the Injury and Reconstruction Biomechanics Test Suite being used to assess how much protection lightweight ballistic hybrid panels provide against small metal blast fragments. Pictured: Thuy-Tien Nguyen (Luz), Research Associate, Bioengineering. (Photo credit: Dave Guttridge)

The multiaxial mechanical tester Mach-1 at the Injury and Reconstruction Biomechanics Test Suite being used to conduct tensile test on a knitted fabric. (Photo credit: Dave Guttridge)

The Gas Gun System at the Injury and Reconstruction Biomechanics Test Suite being used to assess how much protection lightweight ballistic hybrid panels provide against small metal blast fragments. Pictured: Thuy-Tien Nguyen (Luz), Research Associate, Bioengineering. (Photo credit: Dave Guttridge)

Microscopic images

A section of a brain diseased with Alzheimer’s, stained for nuclei (blue), astrocytes (green), amyloid plaques (yellow) and microglia (red) using GeoMx, a spatial transcriptomics platform. (Imaged by: Dr Emily Adair, Department of Brain Sciences)

Human lung vasculature (red) with pericytes (blue) and mast cells (green). (Imaged by: Dr Régis Joulia, Advanced Research Fellow, National Heart & Lung Institute)

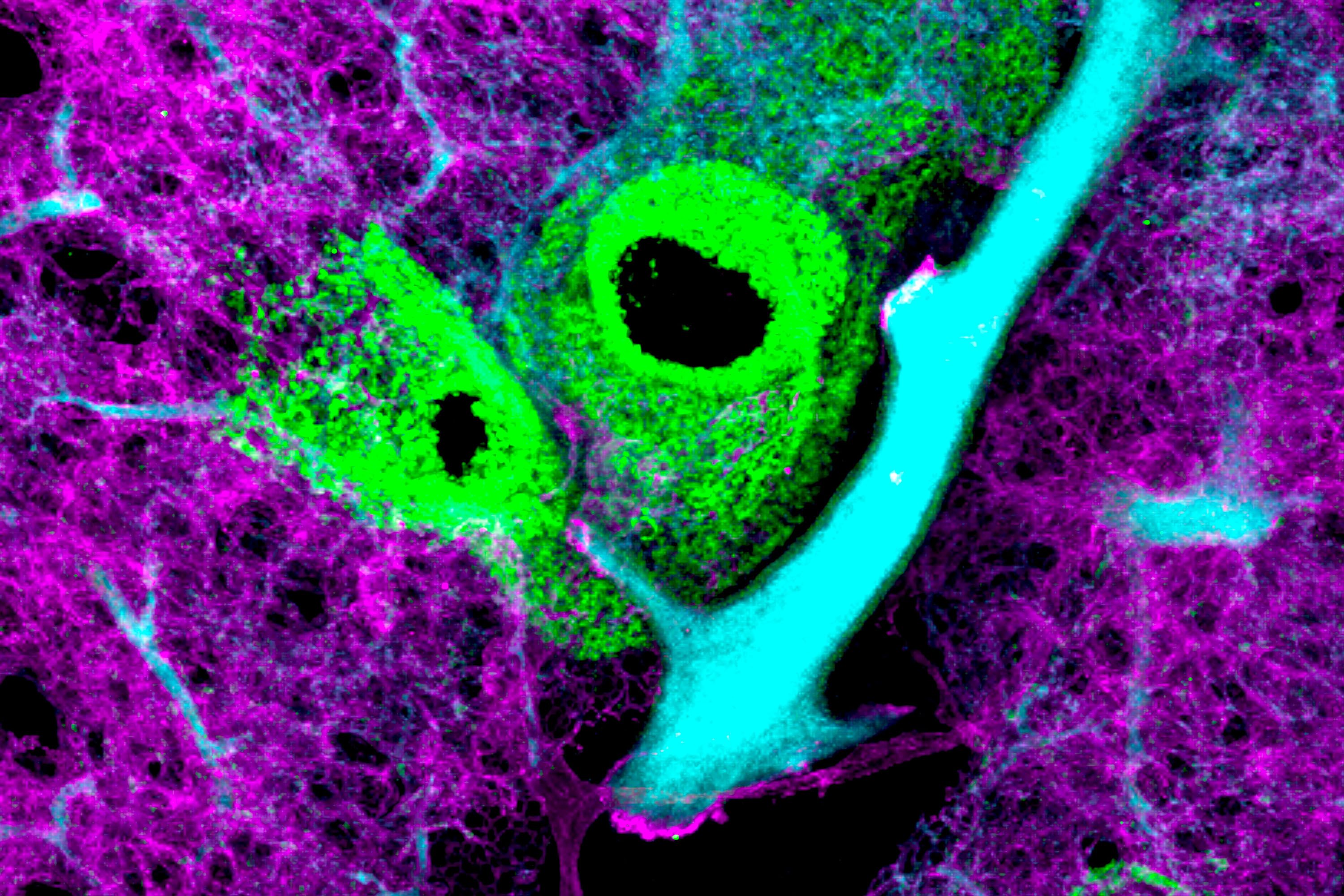
Image of lung epithelium (green), with a network of small blood vessels (purple) and larger blood vessels (blue). (Imaged by: Dr Régis Joulia, Advanced Research Fellow, National Heart & Lung Institute)

Renewable Energy with AI and Data Science: Geology and Geophysics (READY) MSc

Using VR to visualise seismic data and ground models in areas of proposed wind farm development. Pictured (L–R): Rebecca Bell, Course Director; Rajashree Kanetkar, BSc Geophysics student. (Photo credit: Thomas Angus)

Students on the READY programme examining ground models for wind farm development. Seismic data is used to investigate for geohazards that need to be considered in infrastructure development. (Photo credit: Thomas Angus)

Students on the READY programme examining ground models for wind farm development. Pictured (L–R): Rajashree Kanetkar, BSc Geophysics student; Jonah McLeod, PhD student. (Photo credit: Thomas Angus)

Blyth Art Fellowship