Skip to main content Skip to search Skip to section menu Skip to sidebar menu View accessibility support page

Imperial College LondonImperial College London

Latest News

More News

Main Navigation

  • Study
    Close
    • Study overview
    • Courses
      Top Links
      • Search our courses
      • Explore subject areas
      • Chat to our students
      • Request information
      • Continuing professional development
      • Executive education
      • Adult education classes

       

    • Admissions
      Top Links
      • How to apply
      • Fees and funding
      • Accommodation
      • Student visas and immigration



    • Events, tasters and talks
    • Visit us
    • Undergraduate Open Days
    • Summer schools
    • Virtual tour
    • Help centreFind answers to frequently asked questions about studying at Imperial
    • International studentsLearn more about what Imperial has to offer students from around the world
    • Student lifeDiscover more about our entrepreneurial community, and life in London
  • Research & Innovation
    Close
    • Research and Innovation
    • Research support
      At a glance
      • Support for staff
      • Support for partners and business
      • ICT research computing support
    • About Imperial research
      At a glance
      • A-Z all research groups
      • Our research culture
      • Research Excellence Framework (REF)
    • Global Institutes
    • Centres of Excellence
    • Networks of Excellence
    • Funding opportunities
    • Impact case studiesRead case studies about Imperial research that has made a difference
    • Research newsThe latest research news from across the College
    • EnterpriseLearn how we support entrepreneurship and find research-driven solutions
  • Be Inspired
    Close
    • Be Inspired
    • Take part
      Top links
      • Schools Outreach
      • What's on at Imperial
      • Staff and student volunteering

       
       
    • Engage online
      Top links
      • Imperial news
      • Imperial Magazine
      • Imperial College Podcast
       
       
    • Societal engagement
    • The Great Exhibition Road Festival
    • Imperial Lates
    • Social media directory
    • Imperial StoriesThe very best features and opinion from the Imperial community
    • Student storiesFind out about life on campus from our team of student bloggers
    • Imperial TodaySubscribe to our daily newsletter and receive the best stories from Imperial direct to your inbox
  • About
    Close
    • About
    • Our leadership and strategy
      Overview
      • Imperial strategy
      • Academic Strategy
      • Governance structure
      • League tables
      • Global Imperial
    • Our people and values
      At a glance
      • President
      • Provost
      • Recognising our people
      • Search Imperial staff and researchers
      • Alumni stories
      • Equality diversity and inclusion
    • Our faculties and departments
    • Faculty of Engineering
    • Faculty of Medicine
    • Faculty of Natural Sciences
    • Imperial College Business School
    • Our campusesExplore our London locations
    • Our values and behavioursOur College Values both underpin and reflect our behaviour and are critical in shaping how we work
    • Sustainable ImperialWe will set a global benchmark for university sustainability
  • News
  • What's on
  • News
  • Give
  • A-Z
    • Close
    • Faculties and departments
    • Multidisciplinary networks, centres and institutes
    • Research groups
    • People finder
    • Administration and support services
  • Information for
    • Close
    • Prospective students
    • Current students
    • Alumni
    • Staff
    • Jobs at Imperial
    • Partners and business
    • Media
    • Donors
    • Parents
    • Conference organisers

Department of Brain Sciences

Section Navigation

  • Close
  • Department of Brain Sciences Overview
  • About us
    • Leadership
    • Equity, Diversity and Inclusion (EDI) Committee
    • Early Career Researchers (ECR) Group
    • LGBTQ+ Allies network
    • Sustainability Committee
      • Sustainability tips and resources
  • Study
    • PhD opportunities
      • Application FAQs
      • How to apply
      • Funding
      • Information for supervisors
      • For current PhD students
        • PhD induction
    • MRes Experimental Neuroscience
    • MSc Translational Neuroscience
    • BSc Neuroscience and Mental Health
    • Information for current students
    • Meet our students
    • Meet our teaching staff
  • Research
    • Neurology
    • Neuroscience
    • Psychiatry
      • Addiction research
      • Child and adolescent mental health research
      • COVID-19 and Mental Health
      • FORWARDS-1 Study
      • FORWARDS-2 Study
      • LEAP2 study
      • Mood Instability Research
      • NCORE: Neural Correlates of Reward and Emotion in opioid dependence
      • SPS study
    • PhD opportunities
  • News and events
    • Newsletter and blog
    • The Hows and Whys of Writing Research Grants and Fellowship Applications
    • ImperialSAID seminars
  • Health and safety
  • Contact us
  • For staff
    • Events calendar (Outlook)
    • Key contacts
    • HR forms, resources and training
    • Mental health and wellbeing resources
      • Physical and Mental Health First Aiders
    • Mentoring
    • Register your public engagement activities
    • For parents and carers
    • LGBTQ+ Allies network
    • Postdoc and Fellows Development Centre
    • Reward and Recognition scheme
  • Home
  • Faculty of Medicine
  • Departments
  • Department of Brain Sciences
  • Research
  • Psychiatry
  • Addiction research

Addiction research

Current studies

Pills

FORWARDS Study

FORWARDS aims to investigate the safety and efficacy of baclofen to support detoxification from methadone in opiate dependence.

It is comprised of two separate studies; FORWARDS-1, which will investigate the safety of acute baclofen in combination with prescribed doses of methadone, and FORWARDS-2, which will subsequently investigate the efficacy of baclofen in supporting methadone detoxification (dose reduction and abstinence) over 12 weeks.

Learn more

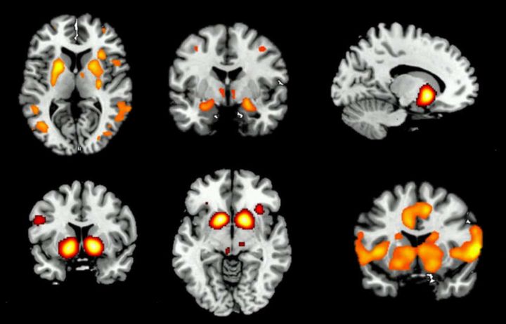
Brain scans

NCORE

In this study (NCORE: Neural Correlates of Reward and Emotion in opioid dependence), we are investigating the effects of opioid dependence on brain function, with the aim of improving treatment for detoxification and relapse prevention.

Our research uses brain-imaging techniques to detect subtle changes in brain function while performing psychological tasks. These tasks measure brain processes that are important in opioid dependence. We will investigate the effects of aprepitant on brain function in opioid-dependent individuals during methadone treatment, and again, after achieving abstinence from methadone.

Learn more

Research

  • Neurology
  • Neuroscience
  • Psychiatry
    • Addiction research
    • Child and adolescent mental health research
    • COVID-19 and Mental Health
    • FORWARDS-1 Study
    • FORWARDS-2 Study
    • LEAP2 study
    • Mood Instability Research
    • NCORE: Neural Correlates of Reward and Emotion in opioid dependence
    • SPS study
  • PhD opportunities

Contact & Links

Section Information

Address

Hammersmith Campus

Burlington Danes,
The Hammersmith Hospital,
Du Cane Road,
London W12 0NN

Hammersmith Campus map

Follow

X, formerly known as TwitterYouTubeInstagram

Useful Links

Information for

  • Prospective students
  • Alumni
  • Jobs
  • Partners and business
  • Media
  • Donors
  • Parents
  • Conference organisers

Top links

  • Visit Imperial
  • Outlook web access
  • Contact ICT Service Desk
  • Library
  • Blackboard
  • Move Imperial

Students

  • Students main page
  • Imperial College Union
  • Student Hub
  • Careers Service
  • Imperial Mobile
  • Graduation
  • Term dates

Staff

  • Staff main page
  • ICIS
  • HR procedures
  • Pay and pensions
  • Research support
  • New staff information

Imperial partners

  • Imperial College Healthcare NHS Trust
  • Imperial College Academic Health Science Centre
  • Imperial College Health Partners
  • Imperial Consultants

A-Z

  • Faculties, departments and institutes
  • Research groups
  • Administration and support services
  • People finder

College Information

Imperial College London

Address

Imperial College London
South Kensington Campus

London SW7 2AZ, UK
tel: +44 (0)20 7589 5111
Campuses & maps

Follow Imperial

Facebook X, formerly known as Twitter You Tube Linked in Instagram TikTok

Site Information

  • Sitemap
  • Accessibility
  • Modern slavery statement
  • Privacy notice
  • Use of cookies
  • Report incorrect content
  • © 2026 Imperial College London
  • Log in