AERIAL
AERIAL: The impact of maternal exposure to air pollution on placental function and foetal brain development using modelling and personalised monitoring
AERIAL is the PhD project of Brendan Bos, supervised by Dr Benjamin Barratt from the Environmental Research Group (ERG) at Imperial College and Professor Serena Counsell from Perinatal Imaging at King’s College London.
Background and Objectives
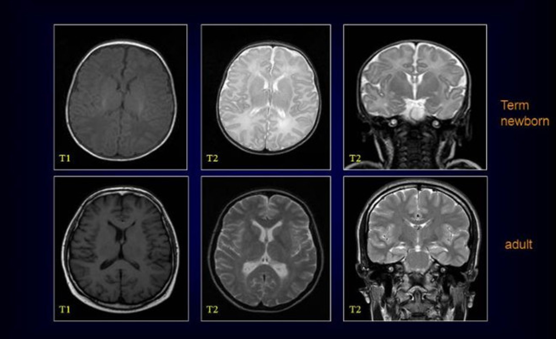
Air pollution is likely to affect the placenta and prenatal and postnatal neurodevelopment. However, it is unclear at this stage whether placental function is impaired by air pollution, and whether this leads to further adverse health outcomes in the mother and baby. Further, the evidence on neurodevelopmental effects of prenatal exposure to air pollution comes mostly from epidemiological studies and very little personal exposure work has been undertaken. Perinatal brain magnetic resonance imaging (MRI) offers the opportunity to assess the impact of prenatal exposure to air pollution on brain development. To date, as far as I’m aware, no such studies have been conducted. The aim of this PhD project is to understand how exposure to air pollutants impacts prenatal neurodevelopment.
Methods
To achieve these objectives, maternal air pollution exposure for a healthy, term-born cohort and a preterm cohort will be modelled. The subjects in these cohorts underwent MRI in the neonatal period, and any effects of maternal air pollution exposure during pregnancy on the brain will be assessed. Preterm babies are of concern, as while they may have been exposed prenatally for a shorter period, they are more vulnerable to neurodevelopmental impairment.
The mechanism of impacts on neonatal neurodevelopment due to prenatal exposure to air pollution is unclear. As described in the introduction, placental function may be impaired due to high maternal exposure to air pollution during pregnancy. I will investigate this link further by modelling prenatal exposure to air pollution and linking this with established placental T2* MRI datasets that will enable indices of placental oxygenation (a surrogate measure of placental function) to be assessed.
Further to these retrospective analyses, a personal exposure monitoring campaign will be conducted. Alongside personal exposure to air pollution, placental function tests will be performed, and, if additional funds are secured, neonatal brain images will be taken.
PI: Dr Ben Barratt

