Lumbar root imaging
Optimising diagnosis and prediction of outcome of spinal surgery using diffusion tensor imaging and machine learning.
Overview

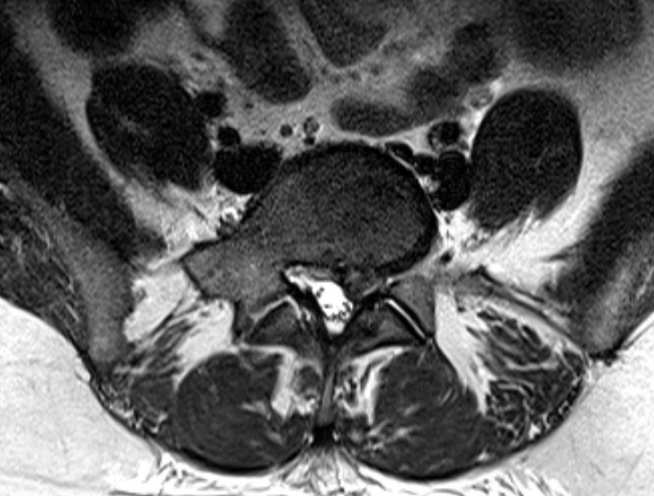
The outcome of spinal decompression surgery is highly variable with recently published data suggesting ~56% of patients improve and ~44% show no improvement or worsening of the condition. The surgical decision is currently made following static MRI of the lumbar spine, which provides information about abnormalities of relevant structures (e.g. intervertebral discs). However, this does not permit any inferences about the structural integrity or damage to nerves leaving the spine which ultimately defines the symptoms. This ongoing project funded by the Wellcome Trust and Imperial College aims to develop diffusion tensor imaging protocols to allow identification and tracking of compressed lumbar nerves in patients with sciatica due to herniated intervertebral disc waiting to undergo surgery. Additionally, the relationship between the imaging data and the functional integrity of motor pathways will be assessed neurophysiologically with transcranial magnetic stimulation. Image analysis techniques will also be developed to automate the localization and quantification of abnormalities from lumbar MRI scans. Machine learning techniques will be employed to identify groups and determine which parameters (e.g. imaging, neurophysiological, structural parameters, clinical scores) can effectively separate the groups. This computational approach will also be applied to generate models to attempt to predict the outcome of spinal surgery; comparison of pre- and post-surgical imaging data will aid with generating these predictive models.
Principal investigator
Researchers involved
- Chloe Chiou
- David Sharp
- Rex Newbould
- Pete Hellyer
- Ben Glocker
Funding
- Dunhill Medical Trust
- Wellcome Trust- Institutional Strategic Support Fund