All the nephrologist needs to know about glomerular disease

Course details


Duration
2 days

Dates
To be arranged.

Fees
-

Location
Imperial College London

Request registration formCourse programme - will be available soon [download]

This is a 2-day course on Glomerular Disease for Specialist Registrars and Consultants in Renal Medicine and General Internal Medicine.  

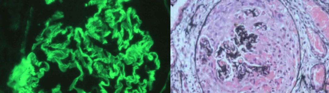
The course is designed to provide an update on glomerular diseases, including primary and secondary glomerulonephritis, and protein deposition diseases.  In addition to lectures, with plenty of time for questions, there will be clinicopathological conferences, case presentations with audience participation, and a quiz at the end to test your knowledge.  For those about to take the specialist examination in nephrology, there will be an interactive session to discuss the exam.

At the end of the course, you will have learnt about the pathogenesis, clinical presentation and current management of the commoner glomerular diseases.  The expert Faculty will also be happy to discuss any conditions which have not been covered in detail during the course.


Target audience

  • Nephrologists
  • Specialist Registrars
  • Consultants in Renal Medicine

Guest speakers

  •  

Draft programme

A draft programme will be available soon.


Course organiser

Miss Anjli Jagpal (a.jagpal@imperial.ac.uk)