Skip to main content Skip to search Skip to section menu Skip to sidebar menu View accessibility support page

Imperial College LondonImperial College London

Latest News

More News

Main Navigation

  • Study
    Close
    • Study overview
    • Courses
      Top Links
      • Search our courses
      • Explore subject areas
      • Chat to our students
      • Request information
      • Continuing professional development
      • Executive education
      • Adult education classes

       

    • Admissions
      Top Links
      • How to apply
      • Fees and funding
      • Accommodation
      • Student visas and immigration



    • Events, tasters and talks
    • Visit us
    • Undergraduate Open Days
    • Summer schools
    • Virtual tour
    • Help centreFind answers to frequently asked questions about studying at Imperial
    • International studentsLearn more about what Imperial has to offer students from around the world
    • Student lifeDiscover more about our entrepreneurial community, and life in London
  • Research & Innovation
    Close
    • Research and Innovation
    • Research support
      At a glance
      • Support for staff
      • Support for partners and business
      • ICT research computing support
    • About Imperial research
      At a glance
      • A-Z all research groups
      • Our research culture
      • Research Excellence Framework (REF)
    • Global Institutes
    • Centres of Excellence
    • Networks of Excellence
    • Funding opportunities
    • Impact case studiesRead case studies about Imperial research that has made a difference
    • Research newsThe latest research news from across the College
    • EnterpriseLearn how we support entrepreneurship and find research-driven solutions
  • Be Inspired
    Close
    • Be Inspired
    • Take part
      Top links
      • Schools Outreach
      • What's on at Imperial
      • Staff and student volunteering

       
       
    • Engage online
      Top links
      • Imperial news
      • Imperial Magazine
      • Imperial College Podcast
       
       
    • Societal engagement
    • The Great Exhibition Road Festival
    • Imperial Lates
    • Social media directory
    • Imperial StoriesThe very best features and opinion from the Imperial community
    • Student storiesFind out about life on campus from our team of student bloggers
    • Imperial TodaySubscribe to our daily newsletter and receive the best stories from Imperial direct to your inbox
  • About
    Close
    • About
    • Our leadership and strategy
      Overview
      • Imperial strategy
      • Academic Strategy
      • Governance structure
      • League tables
      • Global Imperial
    • Our people and values
      At a glance
      • President
      • Provost
      • Recognising our people
      • Search Imperial staff and researchers
      • Alumni stories
      • Equality diversity and inclusion
    • Our faculties and departments
    • Faculty of Engineering
    • Faculty of Medicine
    • Faculty of Natural Sciences
    • Imperial College Business School
    • Our campusesExplore our London locations
    • Our values and behavioursOur College Values both underpin and reflect our behaviour and are critical in shaping how we work
    • Sustainable ImperialWe will set a global benchmark for university sustainability
  • News
  • What's on
  • News
  • Give
  • A-Z
    • Close
    • Faculties and departments
    • Multidisciplinary networks, centres and institutes
    • Research groups
    • People finder
    • Administration and support services
  • Information for
    • Close
    • Prospective students
    • Current students
    • Alumni
    • Staff
    • Jobs at Imperial
    • Partners and business
    • Media
    • Donors
    • Parents
    • Conference organisers

Research facilities

Section Navigation

  • Close
  • Research facilities Overview
  • Autonomous chemistry
  • Molecular characterisation
  • Nano/micro-fab
  • Home
  • Faculty of Natural Sciences
  • Departments, institutes and centres
  • Department of Chemistry
  • Research
  • Research facilities
  • Agilent Measurement Suite
  • Featured projects

Featured projects

Discover research projects using the AMS state of the art equipment

Adulteration of traditional herbal remedies

Identifing potential adulterants for further analysis using the facilities within the AMS.

Opening the blood-brain barrier for delivery of therapeutics

Using analytical facilities of the AMS to quantify the dose of drugs delivered to the brain.

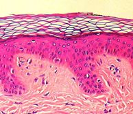
Cataloguing the composition of dermal interstitial fluid

Using Agilent’s automated liquid handling application to extract the most data points possible from d-ISF samples.

Exploring Analytical Science Podcast

A new podcast series brought to you by Agilent Technologies in partnership with Imperial

Agilent Measurement Suite

  • Internal users
  • External users
  • Webinars
  • Featured projects
    • Adulteration of traditional herbal remedies
    • Opening the blood-brain barrier for delivery of therapeutics
    • Cataloguing the composition of dermal interstitial fluid (d-ISF)
    • Exploring Analytical Science Podcast
  • Progress report
  • Agilent Workflows
    • A Dedicated Oligonucleotide Analysis System
    • Cary 5000 UV-Vis-NIR Spectrophotometer
    • Agilent LC Purification System
    • ICP-MS is an Inorganic Elemental Analysis Technique
    • Identify and quantify GC-amenable compounds with high resolution accurate mass sensitive data
    • Covering Your Entire Metabolomics and Lipidomics Workflow
    • Integrating Metabolomics, Lipidomics and Bioenergetics
    • Biopharma / Protein Accurate Mass Workflows
    • Find more Information on your environmental or food sample with high resolution, accurate mass spectrometry

How to book

  • Internal users
  • External users


Email us: agilent-msrh@imperial.ac.uk

Related departmental facilities

  • Department of Chemistry
  • Department of Life Sciences
  • Department of Surgery and Cancer
  • National Heart and Lung Institute
  • Faculty of Medicine

Contact & Links

Section Information

Address

South Kensington Campus

Department of Chemistry
Imperial College London
South Kensington Campus
London | SW7 2AZ | UK

South Kensington Campus map
White City Campus

Molecular Sciences Research Hub

82 Wood Lane
Molecular Sciences Research Hub 
Department of Chemistry
Imperial College London
White City Campus | W12 0BZ | UK

White City Campus map

Follow

X, formerly known as TwitterLinked in

Useful Links

Information for

  • Prospective students
  • Alumni
  • Jobs
  • Partners and business
  • Media
  • Donors
  • Parents
  • Conference organisers

Top links

  • Visit Imperial
  • Outlook web access
  • Contact ICT Service Desk
  • Library
  • Blackboard
  • Move Imperial

Students

  • Students main page
  • Imperial College Union
  • Student Hub
  • Careers Service
  • Imperial Mobile
  • Graduation
  • Term dates

Staff

  • Staff main page
  • ICIS
  • HR procedures
  • Pay and pensions
  • Research support
  • New staff information

Imperial partners

  • Imperial College Healthcare NHS Trust
  • Imperial College Academic Health Science Centre
  • Imperial College Health Partners
  • Imperial Consultants

A-Z

  • Faculties, departments and institutes
  • Research groups
  • Administration and support services
  • People finder

College Information

Imperial College London

Address

Imperial College London
South Kensington Campus

London SW7 2AZ, UK
tel: +44 (0)20 7589 5111
Campuses & maps

Follow Imperial

Facebook X, formerly known as Twitter You Tube Linked in Instagram TikTok

Site Information

  • Sitemap
  • Accessibility
  • Modern slavery statement
  • Privacy notice
  • Use of cookies
  • Report incorrect content
  • © 2026 Imperial College London
  • Log in